
Предлагаем вниманию читателей материал, подготовленный Татьяной Анатольевной Горновых, врачом Кузбасского центра общественного здоровья и медицинской профилактики.
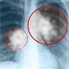
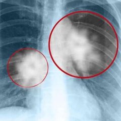
Среди злокачественных новообразований рак лёгких занимает лидирующие позиции в мире как по распространённости, так и по смертности. Вот уже более 30 лет он остаётся главным «онкологическим киллером». Мужчины болеют в 6 раз чаще, чем женщины. За последние 20 лет общая заболеваемость выросла более чем в 2 раза, при этом среди мужчин — на 51%, а среди женщин — на 75%. Есть и обнадеживающая статистика — на начальной стадии рак лёгких хорошо поддается лечению. Почти в 80% случаев после операции наступает стойкая ремиссия, и человек излечивается.
Но коварство рака лёгких состоит в том, что ранние его формы не имеют характерных клинических проявлений. Нередко больные длительно лечатся от других болезней, так как ранние симптомы рака лёгких часто не связаны с дыхательной системой. К ним относятся: субфебрильная температура (в пределах 37-38), слабость и усталость сразу после пробуждения, кожный зуд с развитием дерматита и появлением наростов на коже, слабость мышц и повышенная отёчность, нарушение работы центральной нервной системы: головокружение, нарушение координации движений или потеря чувствительности. Эти косвенные признаки могут присутствовать при многих заболеваниях, в том числе онкологических. Они могут быть при опухоли любой локализации. Их сочетание называется паранеопластический синдром.
Специфические симптомы, связанные с внутригрудным распространением опухоли — кашель с «ржавой» мокротой, одышка, кровохарканье, боль — чаще возникают при запущенной форме заболевания. В это же время появляются симптомы, связанные с внегрудным распространением опухоли. Они зависят от того, в каком органе появились метастазы.
Главным фактором риска рака лёгких является курение. По разным оценкам, с ним связано от 70 до 95% случаев заболевания. Для курильщиков риск онкологии в 10 раз выше, чем для тех, кто не курит. Риск развития рака лёгкого у курящего человека зависит от числа ежедневно потребляемых сигарет, продолжительности самого акта курения, стажа курения. Риск смерти от рака легких у курящих мужчин на 22%, а у женщин на 12% выше, чем у некурящих. Пассивное курение является фактором риска так же, как и активное.
Факторы, связанные с профессиональной деятельностью, на втором месте по степени опасности. С ними ассоциируют от 4 до 20% случаев болезни. При вдыхании асбеста, радона или продуктов его распада, винилхлорида, хрома, мышьяка, продуктов обработки нефти, угля, а также некоторых других опасных химических веществ лёгочная ткань получает повреждения, которые со временем могут вызывать онкологию. Рак лёгких также связывают с высоким уровнем загрязнения воздуха. Оно может повышать риск онкологии на 40%. Угрозу онкологии создают хронические заболевания органов дыхания: ХОБЛ, пневмофиброз и другие. Риск особенно высок, если из-за перенесённого заболевания в легочной ткани происходят рубцовые изменения. Если человек проходил лучевую терапию органов грудной клетки, угроза онкологии для него повышается, особенно, если он курит.
Также фактором риска считается семейный анамнез. Для человека, у которого есть родственники, болевшие раком лёгких, риск развития опухоли повышается. Влияние ожирения на развитие рака лёгких пока не установлено, но доказано, что 13 видов рака ассоциированы с ожирением.
Профилактика рака лёгких включает в себя простые мероприятия — это общие рекомендации, которые ориентированы на устранение внешних негативных факторов. Их нужно соблюдать всем людям, чтобы снизить риск онкологии:
Вторичная профилактика рака лёгких — это регулярные обследования, которые нужно проходить, чтобы выявить онкологию на ранней стадии, если она появится. Она необходима всем, для кого риск заболеть раком лёгких повышен. Ежегодно проходить обследование необходимо: курильщикам, людям старше 55 лет (особенно с заболеваниями органов дыхания или хроническими инфекциями), работникам вредных производств и людям, длительно проживающим в районах с экологически неблагоприятной обстановкой и с сильно загрязнённым воздухом. При профилактическом обследовании выполняют рентгенографию или компьютерную томографию лёгких. В России все взрослые люди ежегодно должны делать флюорографию. Это исследование проверяет состояние лёгких, но оно не выявляет рак на ранней стадии. Поэтому тем, кто находится в группе риска, нужно проходить дополнительное обследование. Его можно спланировать, обратившись к пульмонологу или к онкологу.
Третичная профилактика рака лёгких — это меры профилактики рецидива и прогрессирования рака лёгких для тех, кто уже перенёс это заболевание. Рецидивом заболевания называют рост опухоли в той же локализации, где она удалялась хирургически или была ликвидирована иными методами. Прогрессированием онкологи называют рост метастазов за пределами области первичной опухоли. Именно по этой причине пациенты наблюдаются у онколога в течение пяти лет, а зачастую и дольше после окончания лечения. Рецидивы рака лёгкого встречаются значительно реже, чем прогрессирование заболевания. Чем больше времени прошло после завершения терапии, тем меньше вероятность рецидива или прогрессирования онкологического заболевания.
Профилактика рака лёгких направлена на снижение негативного воздействия опасных факторов на здоровье или их полное исключение. Своевременная диагностика, укрепление защитных сил организма, отказ от пагубных привычек помогут избежать развития опасной патологии органов дыхания.
Комментарии /33
"Рак лёгких также связывают с высоким уровнем загрязнения воздуха. Оно может повышать риск онкологии на 40%.."
"... регулярные обследования, которые нужно проходить, чтобы выявить онкологию на ранней стадии, если она появится. Она необходима всем, для кого риск заболеть раком лёгких повышен. Ежегодно проходить обследование необходимо: ... работникам вредных производств и людям, длительно проживающим в районах с экологически неблагоприятной обстановкой и с сильно загрязнённым воздухом."
Все это в полной мере иллюстрирует влияние (большее, чем от курения) экологического неблагополучия на риск возникновения онкологических заболеваний.
"Рак лёгких также связывают с высоким уровнем загрязнения воздуха. Оно может повышать риск онкологии на 40%.."
"... регулярные обследования, которые нужно проходить, чтобы выявить онкологию на ранней стадии, если она появится. Она необходима всем, для кого риск заболеть раком лёгких повышен. Ежегодно проходить обследование необходимо: ... работникам вредных производств и людям, длительно проживающим в районах с экологически неблагоприятной обстановкой и с сильно загрязнённым воздухом."
Все это в полной мере иллюстрирует влияние (большее, чем от курения) экологического неблагополучия на риск возникновения онкологических заболеваний.
Отсюда и смертность, и низкая продолжительность жизни в Новокузнецке.
Большое количество жителей даже до пенсии не доживает, хотя отчисления платят всю жизнь.
Давно пора, если ХОБЛ не хочешь схлопотать в юном возрасте. Смешны молодые кальянщики, им кажется что они на кайфовой работе зашибают бабки, не напрягаясь, только расплата идёт здоровьем, причём жёсткая.
После 22:00 комментарии принимаются только от зарегистрированных пользователей ИРП "Хутор".
Авторизация через Хутор: